

Что такое эндоскопическая хирургия грыж позвоночника?
Эндоскопическое удаление грыж межпозвонковых дисков — это минимально инвазивная операция на позвоночнике, при которой используются специальные видеокамеры и инструменты для удаления грыжи межпозвоночного диска через очень маленькие разрезы.
Эндоскопическое удаление грыж межпозвонковых дисков является одним из самых передовых, высокотехнологичных методов минимально инвазивной хирургии позвоночника, предназначенного для более быстрого восстановления здоровья пациента по сравнению с традиционными методами хирургии.
Показания к эндоскопической хирургии позвоночника
Эндоскопическая хирургия особенно эффективна при таких заболеваниях, как стеноз позвоночного канала, грыжа межпозвоночного диска, ишиас, боль в пояснице и синдром фасеточного сустава. Не причиняя дополнительных страданий, под превосходной визуализацией, эндоскопическая хирургия позволяет решать сложные задачи и поэтому приобретает все большую популярность среди пациентов и спинальных хирургов.
Чем отличается эндоскопическое удаление грыжи межпозвонкового диска от традиционных методов
В прошлом для проведения операции на позвоночнике хирургу приходилось делать длинный разрез по средней линии спины, что приводило к значительной кровопотере, медленному заживлению ран и обширным травмам мышц, тканей и костей. Это неизбежно приводило к длительному периоду восстановления и повышенному риску послеоперационных осложнений из-за инфекций. Развитие медицинских технологий привело к появлению эндоскопической хирургии позвоночника, при которой через небольшие разрезы вводится миниатюрный эндоскоп с линзами с высоким увеличением, оптоволоконным освещением и видеомониторингом в реальном времени для чёткой визуализации операционного поля.
В отличие от традиционной хирургии позвоночника, которая требует больших разрезов и значительного рассечения мышц, при эндоскопической хирургии используется небольшая трубка, называемая эндоскопом. Эндоскоп, оснащённый крошечной видеокамерой и специализированными хирургическими инструментами, вводится через небольшой разрез, обычно около 6-8 мм. Это позволяет хирургу получить чёткое увеличенное изображение позвоночника и точно воздействовать на поражённую область, будь то выпячивание межпозвоночного диска, костная шпора или другие проблемы с позвоночником, не затрагивая окружающие мышцы и ткани.






Виды эндоскопического удаления грыжи межпозвонкового диска
Эндоскопические операции на позвоночнике обычно делятся на однопортовые и двухпортовые методы, а также на различные процедуры, предназначенные для лечения конкретных проблем с позвоночником. Выбор метода эндоскопической хирургии определяется конкретной клинической ситуацией. Мы используем различные типы эндоскопических систем, среди которых можно отметить следующие:
- Чрескожная трансфораминальная эндоскопическая дискэктомия
- Интерламинарная чрескожная эндоскопическая дискэктомия
- Бипортальная чрескожная эндоскопическая дискэктомия
- Микроэндоскопическая дискэктомия (МЭД) с использованием фиксированных тубулярных ретракторов и комбинированного изображения
- Микроэндоскопическая дискэктомия (МЭД) с использованием мобильной эндоскопической вставки «Destandau»
Что происходит во время эндоскопического удаления грыжи межпозвонкового диска






Подготовка к операции: перед началом операции пациентам внутривенно вводят легкий седативный препарат, чтобы помочь им расслабиться. Их удобно располагают на операционном столе. Затем хирург обезболивает кожу вокруг операционного поля местным анестетиком, чтобы пациент не чувствовал боли во время процедуры.
Доступ к проблемной зоне: с помощью специального рентгеновского аппарата, называемого флюороскопом, хирург аккуратно подводит тонкую иглу и проволоку к пораженному диску позвоночника, вызывающему боль. На коже делается крошечный разрез размером около 6-8 мм.
Создание доступа для хирургического вмешательства: тонкая металлическая трубка размером примерно с карандаш аккуратно вводится через проводник в позвоночный диск. Эта трубка создает доступ для работы хирурга. После создания доступа проводник и дилататор удаляются.

Проведение операции: через трубку хирург вводит эндоскоп — небольшую камеру, которая обеспечивает чёткое изображение внутри позвоночника. С помощью специальных инструментов хирург удаляет проблемные ткани, такие как грыжи межпозвоночных дисков или костные наросты, которые могут давить на нервы и вызывать боль. В отличие от некоторых клиник, которые рекламируют «лазерную операцию на позвоночнике», мы используем комбинацию инструментов, в том числе лазер и ультразвуковую энергию, чтобы точно воздействовать на проблемную область.
Завершение операции: после освобождения спинномозговых нервов от давления хирург часто вводит небольшую дозу стероидного препарата непосредственно в поражённую область, чтобы уменьшить воспаление и улучшить самочувствие после операции. Затем инструменты извлекаются, а небольшой разрез закрывается одним швом и крошечной повязкой.
Преимущества эндоскопического удаления грыжи позвоночника
Преимущества эндоскопического удаления грыжи позвоночника: трубчатые расширители ( дилататоры) исключают необходимость разрезания мягких тканей; отсутствие кровопотери; минимальный послеоперационный дискомфорт; быстрое заживление, восстановление и т.д.

Минимальная послеоперационная боль

Минимальная послеоперационная боль
Как правило, пациенты испытывают значительно меньше боли после эндоскопической хирургии позвоночника, благодаря небольшим разрезам и минимальному повреждению окружающих тканей. Это часто приводит к снижению потребности в послеоперационных обезболивающих препаратах.

Минимальная кровопотеря

Минимальная кровопотеря
Малоинвазивный характер эндоскопической хирургии позвоночника означает меньшую травматичность для окружающих тканей, что приводит к значительному снижению кровопотери во время процедуры. Это исключает необходимость переливания крови и снижает общий хирургический риск.

Более низкий риск зараженияя

Более низкий риск зараженияя
Минимальные разрезы уменьшают площадь поверхности, подверженной воздействию потенциальных микроорганизмов, снижая риск послеоперационных инфекций. Это особенно важно для пациентов с ослабленной иммунной системой или для тех, кто подвержен более высокому риску заражения.

Сохранение стабильности позвоночника и избежание установки имплантатов

Сохранение стабильности позвоночника и избежание установки имплантатов
В отличие от традиционной открытой хирургии позвоночника, которая может включать удаление больших участков кости и использование имплантатов, эндоскопическая хирургия позвоночника сохраняет большую часть естественной структуры позвоночника. Это помогает сохранить стабильность позвоночника и снижает потребность в дополнительных операциях с использованием имплантатов.

Более быстрое возвращение к работе и повседневным занятиям

Более быстрое возвращение к работе и повседневным занятиям
Благодаря меньшей травматичности и более быстрому заживлению, связанным с эндоскопической операцией на позвоночнике, пациенты часто возвращаются к работе и привычному образу жизни быстрее, чем те, кто перенёс традиционную открытую операцию на позвоночнике.

Улучшенные косметические результаты

Улучшенные косметические результаты
Небольшие разрезы, используемые при эндоскопической хирургии, приводят к минимальному образованию рубцов, обеспечивая лучшие косметические результаты. Это может быть особенно важно для пациентов, обеспокоенных появлением больших шрамов после операции.

Индивидуальное лечение для сложных случаев

Индивидуальное лечение для сложных случаев
Эндоскопические методы позволяют точно воздействовать на проблемные участки позвоночника, что даёт возможность лечить сложные заболевания, которые не всегда поддаются лечению традиционными методами.

Универсальность в лечении множества заболеваний позвоночника

Универсальность в лечении множества заболеваний позвоночника
Эндоскопическая хирургия позвоночника может использоваться для лечения широкого спектра заболеваний позвоночника, от грыжи межпозвоночных дисков и стеноза позвоночного канала до более сложных проблем, таких как синдром фасеточных суставов. Такая универсальность делает её ценным вариантом для пациентов с множественными или повторяющимися проблемами со спиной.
Подходит ли Вам эндоскопическое удаление грыжи межпозвонкового диска?
При принятии решения о том, подходит ли вам эндоскопическая операция на позвоночнике, мы учитываем следующие детали Вашей ситуации
- Диагностика
- Общее состояние здоровья
- История болезни
Лучший способ определить, подходит ли вам эндоскопическая операция на позвоночнике, — проконсультироваться с опытным нейрохирургом или хирургом-вертебрологом. Мы проводим комплексную оценку вашего состояния здоровья и позвоночника, чтобы подобрать оптимальное вмешательство. Наша команда также может предоставить второе мнение, если вы хотите узнать больше о вариантах лечения.
Риски и ограничения эндоскопического удаления грыжи межпозвонкового диска
Хотя эндоскопическая хирургия позвоночника является менее инвазивной хирургической методикой, она всё равно является хирургической процедурой и сопряжена с некоторыми рисками и осложнениями. К таким рискам относятся:
- Инфекция
- Повреждение нерва
- Неполное облегчение симптомов
Если эндоскопическая процедура не обеспечивает достаточного доступа к поражённому участку, мы можем порекомендовать другие виды минимально-инвазивных операций. Крайне необходимо выбрать квалифицированного нейрохирурга, чтобы свести к минимуму риски и провести результативную минимально инвазивную операцию.
Часто задаваемые вопросы
Каково время восстановления после эндоскопического удаления грыжи межпозвонкового диска?
Восстановление после эндоскопической операции на позвоночнике зависит от индивидуальных особенностей пациента, тяжести его состояния и типа проведённой эндоскопической операции. Время восстановления варьируется, но большинство пациентов могут ходить уже через 2–4 часа после операции и возобновлять лёгкую физическую активность в течение нескольких дней. При этом боли в конечностях проходят практически сразу после операции. Полное восстановление и возвращение к нормальной жизни обычно занимает от 1 до 1,5 месяцев, в зависимости от состояния пациента и соблюдения послеоперационного режима.
Как долго обычно длится операция по эндоскопическому удалению грыжи межпозвонкового диска?
По нашему опыту, эндоскопическая операция на позвоночнике длится от 50 до 80 минут на каждом уровне
Болезненна ли эндоскопическая операция на позвоночнике?
Эндоскопическая операция на позвоночнике является малоинвазивной и вызывает меньше послеоперационной боли по сравнению с традиционной открытой операцией. Пациенты могут испытывать совсем лёгкую боль или дискомфорт, которые обычно поддаются лечению и проходят в течение нескольких дней
Как я узнаю, нужна ли мне эндоскопическая операция на позвоночнике?
Вы можете быть кандидатом на эндоскопическую операцию на позвоночнике, если у вас есть заболевание позвоночника, например грыжа межпозвоночного диска или стеноз позвоночного канала, которые вызывают постоянную боль, онемение или слабость. Консультация со специалистом по позвоночнику поможет определить, подходит ли вам этот вариант.
Можно ли применять эндоскопическую хирургию позвоночника при стенозе позвоночника?
Стеноз позвоночного канала — это состояние, характеризующееся сужением пространства внутри позвоночника, что может оказывать давление на нервы и сам спинной мозг. Большая часть нашей работы заключается в лечении этого состояния, от стеноза позвоночного канала на одном уровне до стеноза на нескольких уровнях.
Быстрое функциональное восстановление пациентов, обусловлено способностью эндоскопических методик сохранять нормальные окружающие мягкие ткани, что в свою очередь является наиболее важным фактором для достижения долгосрочных результатов. Именно по этим причинам эндоскопическая хирургия позвоночника, хоть и считается технически сложной, но охотно применяется во всём мире в настоящее время
Первые эндоскопические операции на позвоночнике в основном использовались для лечения грыж межпозвоночных дисков. Сегодня у нас есть уникальные хирургические инструменты и опыт для лечения широкого спектра патологий позвоночника, помимо эндоскопического удаления грыж межпозвоночных дисков. Результаты нашего хирургического лечения значительны! Более 97 процентов пациентов считают их отличными! Риск осложнений крайне мал. В большинстве случаев этот риск составляет не более 2-х процентов.
Тем пациентам, которым не в силах помочь консервативная терапия, назначенная неврологами, но у которых нет явных показаний к оперативному лечению, возможно назначение доктором современного интервенционного чрескожного пункционного лечения (высокоточные блокады, нуклеопластика, денервация и тд).
О враче

Во время консультации доктор проведет диагностический поиск причин Вашего заболевания, проанализирует информацию с дисков МРТ/КТ. Произведет всестороннюю оценку текущей клинической картины. Предложит те или иные методы лечения с учётом Вашего состояния.
В своей практике д-р А.В. Грибанов использует малоинвазивные (щадящие, не травматичные) современные методы лечения различной патологии позвоночника. Для этого широко используется эндоскопическая, компьютерная аппаратура, микроэндоскопический инструментарий, а также операционный микроскоп с высокой глубиной резкости и максимальным разрешением.
Грыжи межпозвонковых дисков. Лечение в Подольске

Что вызывает межпозвонковую грыжу?
Основной причиной возникновения грыж межпозвонковых дисков является дегенеративный процесс. Это естественный процесс старения хрящевой ткани. Особенно быстро он прогрессирует при малоподвижном образе жизни, наличии избыточного веса и слабости мышц, которые поддерживают позвоночный столб. В других случаях, появление грыж межпозвоночных дисков может быть связано с острой либо хронической травматизацией позвоночника.
Какие бывают разновидности грыж межпозвонковых дисков?
Различают следующие виды грыж межпозвонковых дисков:
- Срединная межпозвонковая грыжа (медианная грыжа)
- Околосрединная межпозвонковая грыжа (парамедианная грыжа)
- Протрузия (выбухание) межпозвонкового диска
- Экструзия или собственно грыжа межпозвонкового диска
- Секвестрация или секвестрированная грыжа межпозвонкового диска
Как определить есть ли у Вас грыжа межпозвонкового диска?
К наиболее распространенным симптомам грыж межпозвонковых дисков относятся следующие:
- Боль. Пациенты чаще всего жалуются на сильную локальную боль в том или ином отделе позвоночника, а также тянущие или стреляющие боли, распространяющиеся по всей длине конечности. Боль может отдавать в руку или ногу в зависимости от вида и расположения межпозвоночной грыжи.
- Расстройства в чувствительной сфере. Нередко имеются различные чувствительные расстройства (покалывание, частичное или полное онемение, жжение) в области пальцев кисти, бедра, голени или пальцев стоп.
- Другие симптомы. Существуют более грозные проявления грыж межпозвонковых дисков, например явления паралича конечностей, нарушения со стороны тазовых органов (мочевого пузыря и прямой кишки) и дисфункция в сексуальной сфере, которые чаще всего присоединяются на более поздних стадиях заболевания, при затяжном и неполном лечении. В редких случаях данные симптомы могут появиться внезапно, особенно при появлении очень больших срединных межпозвонковых грыжах.
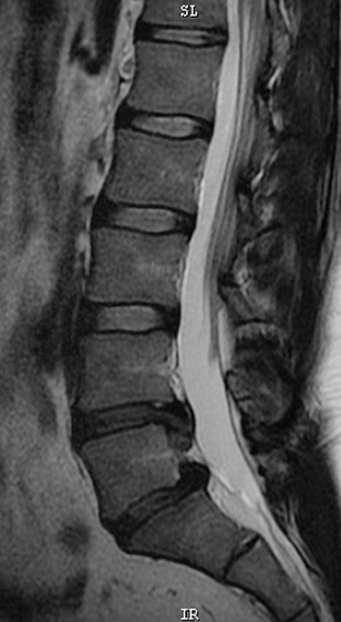
- Основным методом инструментальной диагностики при грыжах межпозвонковых дисков на современном этапе служит магнитно-резонансная томография позвоночника
Что делать если у Вас диагностировали грыжу межпозвонкового диска?
Если по данным МРТ у пациента была выявлена грыжа межпозвонкового диска, то необходима обязательная консультация двух специалистов: невролога и нейрохирурга.
Какие существуют методы консервативного лечение грыжи межпозвонкового диска?

К консервативным методам лечения грыж межпозвонковых дисков относятся: медикаментозная терапия (нестероидные, противовоспалительные препараты, миорелаксанты, гормонотерапия, анальгетики, сосудистые препараты, витаминотерапия, психотропные средства, хондропротекторы); Физиотерапевтические процедуры, тракционная терапия (вытяжение), лечебный массаж, лечебная физкультура.
Возможно ли рассасывание грыж межпозвонковых дисков?
В настоящее время спонтанный регресс грыж дисков – это клиническая реальность, которую нельзя расценивать только как стечением случайных обстоятельств. Тем не менее, далеко не все грыжи способны к полному и быстрому рассасыванию. Длительное ( более 2 - 4 недель) ожидание или неэффективное консервативное лечение может в ряде случаев, привести к появлению необратимых неврологических расстройств.
Существуют также факторы, препятствующие спонтанной резорбции - это особенности расположения грыж в позвоночном канале, размеры и форма грыжевого выпячивания и позвоночного канала, курение, вес, возраст пациента, особенности питания, образа жизни и т д. Для того чтобы произошли процессы резорбции необходимы: активация локального иммунного ответа и улучшение микроциркуляции в области грыжевого образования. Такие методы не агрессивного лечения, как локальная инъекционная терапия, декомпрессия и реконструкция межпозвонковых дисков выполняются под местной анестезией, что помогает исключить возможные осложнения общей анестезии при открытой операции, облегчить страдания пациентов и создать лучшие условия для спонтанной полной или частичной резорбции грыж. По нашим наблюдениям, при использовании наших методов лечения грыж межпозвонковых дисков процесс резорбции сокращается в 2-3 раза быстрее.
Эндоскопическое удаление грыжи межпозвонкового диска Подольск


Эндоскопическое удаление грыж межпозвонковых дисков является передовым, высокотехнологичным методом минимально инвазивной хирургии позвоночника, предназначенного для более быстрого восстановления здоровья пациента по сравнению с традиционными методами хирургии позвоночника. Не причиняя дополнительных страданий, под превосходной визуализацией, эндоскопическая хирургия позволяет решать сложные задачи и поэтому приобретает все большую популярность среди пациентов и спинальных хирургов. Преимущества эндоскопического удаления грыжи позвоночника: трубчатые расширители исключают необходимость разрезания мягких тканей; отсутствие кровопотери; минимальный послеоперационный дискомфорт; быстрое заживление и восстановление.
Мы используем различные типы эндоскопических систем, среди которых можно отметить следующие:
- Чрескожная трансфораминальная эндоскопическая дискэктомия
- Интерламинарная чрескожная эндоскопическая дискэктомия
- Бипортальная чрескожная эндоскопическая дискэктомия
- Микроэндоскопическая дискэктомия (МЭД) с использованием фиксированных тубулярных ретракторов и комбинированного изображения
- Микроэндоскопическая дискэктомия (МЭД) с использованием мобильной эндоскопической вставки «Destandau»
Уже более 25 лет эндоскопические операции на позвоночнике успешно применяются для лечения пациентов с различными заболеваниями позвоночника. С развитием хирургических инструментов и эндоскопических технологий эндоскопические операции на позвоночнике быстро эволюционировали от трубчатых до чрескожных эндоскопических подходов. Эндоскопическая хирургия позвоночника имеет множество преимуществ, в том числе минимальные по размеру раны, меньшая локальная боль, минимальные кровопотеря, боль в послеоперационной ране и более короткое пребывание в больнице.

Быстрое функциональное восстановление, обусловленное способностью этой методики сохранять нормальные окружающие мягкие ткани, что в свою очередь является наиболее важным фактором для достижения долгосрочных результатов. Именно по этим причинам эндоскопическая хирургия позвоночника, хоть и считается технически сложной, но применяется во всём цивилизованном мире в настоящее время. Ранние эндоскопические операции на позвоночнике в основном использовались для лечения грыжи межпозвоночного диска. Сейчас у нас есть уникальные хирургические инструменты и опыт для лечения широкого спектра патологий позвоночника, помимо эндоскопического удаления грыжи межпозвоночного диска. Результаты нашего хирургического лечения значительны! Более 97 процентов пациентов считают их отличными! Риск осложнений крайне мал. В большинстве случаев этот риск составляет не более 2-х процентов. Тем пациентам, которым не в силах помочь консервативная терапия, назначенная неврологами, но у которых нет явных показаний к оперативному лечению, возможно назначение доктором современного интервенционного лечения (высокоточные блокады, нуклеопластика, денервация и тд)
Реконструкция межпозвонковых дисков

Реконструкция межпозвонковых дисков – cовременный высокоэффективный и нетравматичный метод в лечении грыж позвоночника. Межпозвонковый диск в нескольких местах подвергается тепловому и биологическому воздействию. Метод позволяет за счет стимулирования хондроцитов (клеток межпозвонкового диска) улучшить трофику хрящевой ткани пораженного дегенеративным процессом межпозвонкового диска, восстановить его форму и функцию. Процедура реконструкции межпозвонкового диска выполняется под навигационным контролем и местной анестезией и требует краткосрочной госпитализации в клиники Москвы.
Чрескожная декомпрессия грыж межпозвонковых дисков

Чрескожная декомпрессия грыж межпозвонковых дисков – cовременный высокоэффективный и нетравматичный метод в лечении грыж позвоночника. Процедура декомпрессии межпозвонкового диска выполняется под навигационным контролем и местной анестезией и направлена на снижение внутридискового давления путем инъекционного и механического удаления избыточных нежизнеспособных тканей диска, вызывающих его хроническое воспаление. Чрескожная декомпрессия грыжи межпозвонкового диска является промежуточным методом лечения между консервативным и оперативными методами лечения. Процедура требует краткосрочной госпитализации в клиники Москвы.
Денервация фасеточных суставов

Денервация фасеточных (дугоотростчатых) суставов – современный высокоэффективный метод лечения болей в поясничном, грудном и шейном отделах позвоночника. Процедура денервации фасеточных (дугоотростчатых) суставов выполняется через прокол иглой диаметром всего 2 мм под местной анестезией с применением высокоточного навигационного контроля (электронно-оптический преобразователь, компьютерный томограф, эндоскопия). Целью денервации является значительное снижение интенсивности болевых ощущений в том или ином отделе позвоночника при спондилоартрозе за счет выключения патологической импульсации от нервных окончаний капсул фасеточных суставов. Денервация фасеточных суставов позволяет уменьшить вероятность повреждения корешков спинного мозга, сократить сроки стационарного лечения и осуществить быструю реабилитацию больных. Так как денервация дугоотростчатых суставов проводится под местной анестезией, это позволяет использовать ее не только пациентам среднего возраста, но и пожилым, особенно при наличии тяжелых сопутствующих заболеваний и высокого риска проведения наркоза. Денервация фасеточных суставов требует краткосрочной госпитализации в клиники Москвы.
Лицензия







